您现在的位置:首页 > 整形资讯 > 牙齿不整齐怎么办?广州华美推荐隐形矫正让你悄悄变美

牙齿不整齐怎么办?广州华美推荐隐形矫正让你悄悄变美

编辑:|更新时间 2025-01-28 16:35:06|阅读量

预约医生 在线咨询

都说回眸一笑百媚生,一个微笑不仅让你看起来迷人充满阳光,更是一种自信的感染。但是如果牙齿不整齐,面部也会受到影响,就算五官甜美,也敌不过牙齿不整齐的杀伤力,因此越来越多精致的小仙女选择了正畸的方式来改变牙齿。你知道吗?其实矫正牙齿不必“钢牙铜齿”!矫正过程也可以美美哒。

广州华美推荐完美天使隐形矫正让你悄悄变美

完美天使隐形矫正技术是根据每个求美者的具体情况,通过计算机辅助三维诊断、设计、制造等系统,生产出系列个性化的透明矫治器,顾客通过按时佩戴、定期更换来达到矫治目标的一种新型正畸技术。

隐形矫治器图片

广州华美隐形矫正与传统矫正有何区别?

传统矫正和隐形矫正对比图

1、美观方面

传统矫正由于牙齿上有很多矫治装置,给人以“铁嘴铜牙”的感觉,有碍美观。

隐形矫正由于矫治器透明、光滑的特质,其隐蔽性很好,求美者戴用时美观、舒适。

2、便捷性方面

传统矫正由于牙齿被矫治器固定了,不能自行摘戴,不易维护口腔卫生。

隐形矫治器可以自行摘戴,有利于口腔卫生的维护,从而杜绝牙损伤与牙病变。

3、口腔卫生方面

传统矫正托槽和弓丝上容易残留食物碎渣,在口腔滋生细菌,容易和口腔黏膜产生摩擦造成不适感、异物感。

隐形矫正没有托槽与弓丝,不会造成食物残留,更加没有口腔黏膜摩擦的烦恼,很大程度上减少了不适感、异物感。

4、矫正时间对比

传统矫正矫治时间跨度长,一般需要两年以上,并且复诊间隔时间短,要占用顾客大量的休息时间。

隐形矫正在矫正时间上比传统矫正缩短了1/3,复诊次数更少,在快速矫治的同时让生活更加方便。

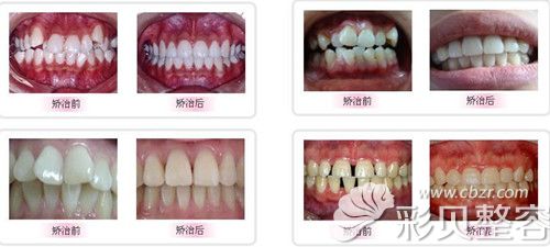
广州华美完美天使隐形矫正技术效果怎么样?

下面有几组爱美者不同情况牙齿矫正前后效果对比图。

广州华美完美天使隐形矫正案例对比图

小仙女们,你有多久没有露齿微笑了?如果你连笑容都不好看的话,那可就真的是太失败啦,想要获得甜美的微笑,赶紧到广州华美让医生帮你看看,让自己成为无懈可击的万人迷吧。

广州华美完美天使隐形矫正技术已经帮助无数求美者实现了牙齿的美丽蜕变。无论是牙齿拥挤、牙齿稀疏,还是牙齿不齐等问题,都能在这里找到专业的解决方案。选择广州华美,让你的微笑更加迷人,自信满满地面对每一天。

文章评论0条